07 ago - 2024 • 19:50 > 07 ago - 2024 • 21:30
07 ago - 2024 • 19:50 > 07 ago - 2024 • 21:30
Evento gratuito, via Youtube, inscreva-se agora!
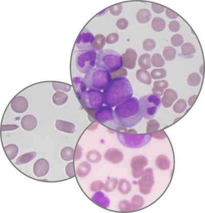
A citomorfologia hematológica é uma das ferramentas essenciais para a análise de hemogramas, mielogramas e fluidos corporais. Para tanto, com os atuais critérios de revisão faz-se necessário o uso de corantes que gerem mais de 20 tons de cores e mostrem estruturas celulares de numerosas células anormais. Sejam malignas ou reacionais.

A Newprov produtos para laboratório, Convida a todos para conhecer a morfologia e os corantes hematológicos da teoria a prática.
APRESENTADOR:
Prof. Dr. Luiz Arthur Calheiros Leite
MEDIADOR:
Prof. Dr. Railson Henneberg

Cancelamentos de pedidos serão aceitos até 7 dias após a compra, desde que a solicitação seja enviada até 48 horas antes do início do evento.
Saiba mais sobre o cancelamentoVocê poderá editar o participante de um ingresso apenas uma vez. Essa opção ficará disponível até 24 horas antes do início do evento.
Saiba como editar participantesSelect the desired event and tap the access event button
Ready! The access link will also be sent to you by email.

NEWPROV PRODUTOS PARA LABORATORIO LTDA
Somos uma empresa paranaense que atua no mercado desde 1993, produzindo e distribuindo produtos para laboratório de análises clinicas e controle de qualidade.
Sensitive data is encrypted and will not be saved on our servers.

Access our Sympla Help Center or Talk to the organizer.